Teeth Symptoms in Ectodermal Dysplasia
Typical Dental Development
Most people have 20 primary (baby) teeth and up to 32 permanent (adult) teeth. In early childhood, each jaw (upper and lower) contains:
-
4 incisors
-
2 canines
-
4 molars
Around age 5 or 6, the primary teeth begin to fall out, making way for permanent teeth. The molars in the primary dentition are replaced by permanent premolars (bicuspids), and additional molars (including wisdom teeth) erupt at the back of the jaws. This results in a complete adult dentition of up to 32 teeth—though some people never develop wisdom teeth, leaving them with 28.
Dental Symptoms in Ectodermal Dysplasia
Teeth are one of the five key body parts affected by ectodermal dysplasia. Dental symptoms can vary depending on the specific type of ectodermal dysplasia, but some issues are common across many types. It’s also important to remember that some of these symptoms may occur independently or as part of other health conditions.
Common Dental Features in Ectodermal Dysplasias
Ectodermal dysplasias can have significant dental implications, such as missing or underdeveloped teeth, abnormal tooth shape and size, delayed tooth eruption, reduced salivary function, orthodontic problems, and implant and denture considerations. These dental symptoms are commonly seen in those affected by various ectodermal dysplasias syndromes:
-
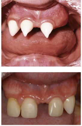
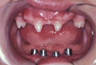
Missing teeth (hypodontia or anodontia): One of the most noticeable signs. Any teeth can be missing, though certain ones—like wisdom teeth, upper lateral incisors, and second premolars—are more commonly absent.
-
Unusual tooth shape: Teeth may be small, pointed, conical, or peg-shaped. These changes can affect both function and appearance.
-
Delayed eruption: Teeth may come in later than usual. Some children may not have any visible teeth until age two or beyond.
-
Defective enamel: Enamel, the tooth’s hard outer surface, may be thin, soft, pitted, or discolored, leading to a higher risk of cavities.
-
Reduced saliva (dry mouth): Some forms of ectodermal dysplasia reduce saliva production, increasing the risk of tooth decay and discomfort.
-
Abnormal roots and pulp chambers: Some teeth may have unusually shaped roots or enlarged pulp chambers (a condition known as taurodontia).
Jaw and Bone Development
The alveolar ridges—the bony ridges in the jaws that support teeth—may be underdeveloped if teeth are missing. This can lead to:
-
A narrow, pointed appearance of the jaw
-
Speech difficulties
-
Problems with chewing and swallowing.
Dental Care and Treatment Options
Treating dental symptoms in ectodermal dysplasia often requires a team approach involving specialists such as pediatric dentists, restorative dentists, and orthodontists. Your general dentist can refer you to a specialist clinic, particularly if your local area has a hypodontia team or an ectodermal dysplasia service.
Treatments may include:
-
Cosmetic reshaping: Pointed or conical teeth can often be built up with tooth-colored composite material to create a more typical appearance.
-
Dentures or removable appliances: Often used from early childhood to help with function and appearance.
-
Bridges and implants: These may be considered for older children or adults when jaw growth is more complete.
Not all treatments are suitable at every age or for every individual. A long-term, personalised plan is important—and specialist advice is essential before starting extensive dental work.
Helping Your Child Feel Comfortable at the Dentist
Your child may spend more time at the dentist than their peers. It’s important that they feel safe and in control during appointments. Look for dental teams that:
-
Build trust with your child
-
Explain procedures in child-friendly terms
-
Allow time to explore the dental environment
-
Make appointments relaxed and positive.
Tips for Caring for Teeth in Ectodermal Dysplasia
Whatever teeth do come in—whether baby or permanent—are incredibly valuable and should be protected. Even a small or misshapen tooth can be used to support future treatment. If your dentist suggests removing a tooth, always seek a second opinion.
Top Tips:
-
Start brushing as soon as the first tooth erupts
-
Use a smear of fluoride toothpaste (minimum 1450 ppm fluoride)
-
Brush twice daily—once at night and once in the morning
-
Don’t rinse after brushing (let the fluoride work!)
-
Avoid sugary drinks—stick to milk or water
-
Avoid letting babies sleep with a bottle
-
Transition to an open cup by age 1
-
Establish regular meals and limit snacks
-
Attend dental check-ups regularly
For more on fluoride, visit the NHS fluoride guide.

