Ankyloblepharon-Ectodermal Defects-Cleft Lip/Palate (AEC)
Synonyms
-
AEC Syndrome
-
Hay-Wells Syndrome
-
Rapp-Hodgkin Syndrome (now considered part of the AEC spectrum)
Overview
AEC syndrome is a rare genetic condition and part of the ectodermal dysplasia spectrum. It can present with a wide range of symptoms that often overlap with other ectodermal dysplasias, making diagnosis challenging.
Key Features of AEC Syndrome
Teeth
-
Missing teeth (hypodontia)
-
Conical or peg-shaped teeth
Sweat Glands
-
Reduced ability to sweat (hypohidrosis)
Skin
-
Fragile, sensitive skin
-
Chronic and recurring erosions, especially on the scalp, palms, and soles
-
In infants, scalp erosions can lead to serious infections and may heal with atrophic or cribriform scarring
-
Skin symptoms at birth may resemble other conditions like epidermolysis bullosa (EB) or present as a collodion baby (tight, shiny, yellowish skin)
Hair
-
Sparse, fine hair (hypotrichosis)
-
Hair may be brittle, coarse, or twisted (pili torti)
-
Patchy hair loss (alopecia)
-
Eyelashes, eyebrows, and body hair may be sparse or absent
Nails
-
Small or abnormally shaped nails
-
Thickened, ridged, or missing nails
-
Nails may appear hyperconvex (overly curved)
Eyes
-
Eyelid fusion (ankyloblepharon)
-
Chronic eye issues such as blepharitis, conjunctivitis, or corneal erosions
-
Underdevelopment or absence of tear-producing (lacrimal) and oil-producing (meibomian) glands
Ears & Hearing
-
Cup-shaped outer ears
-
Small or underdeveloped upper ear (pinna)
-
Twisted (tortuous) ear canals
-
Frequent ear infections (otitis media)
-
May lead to conductive hearing loss
Other Features
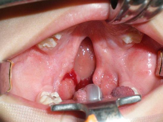
-
Cleft lip and/or cleft palate
-
Blocked or absent tear ducts (lacrimal duct atresia)
-
Supernumerary (extra) nipples
-
Fused fingers or toes (syndactyly)
-
Hypospadias (in males – the urinary opening is not in the typical position)
-
Sparse or missing eyelashes and eyebrows, with possible misalignment
Diagnosis
Diagnosis is usually made based on clinical signs, especially in newborns. Key features to look for include:
-
Eyelid fusion (ankyloblepharon)
-
Cleft lip and/or palate
-
Erosive or denuded skin
-
Heat intolerance or unexplained fevers
Cause
AEC syndrome is caused by mutations in the TP63 gene.
-
It is typically inherited in an autosomal dominant pattern — meaning a parent with the altered gene has a 50% chance of passing it to a child.
-
However, the condition can also occur as a new (spontaneous) mutation, with no previous family history.
Genetic Testing
Genetic testing is available and can confirm a diagnosis of AEC syndrome.
Learn More
Further details about AEC syndrome can be found in the Online Mendelian Inheritance in Man (OMIM) database.
Taking AEC and EEC Research to the Next Level
By Maranke Koster, Ph.D.
Reproduced with the kind permission of the NFED
Overview of Our Research
AEC and EEC are ectodermal dysplasias, caused by mutations in the p63 gene. Although only AEC has historically been linked to the presence of skin erosions, data from the NFED’s Ectodermal Dysplasias International Registry indicate that over 25% of EEC patients exhibited skin erosions at some point during their lives.
Our overall goal is to develop a strategy for the treatment of skin erosions in AEC and EEC patients, by generating healthy replacement skin that will not be immunologically rejected by the patients.
To accomplish this goal, we are developing a strategy that utilizes the patients’ own skin cells.
(Editor’s Note: AEC is ankyloblepharon-ectodermal dysplasia-clefting syndrome, which was formerly known as Hay Wells
syndrome or Rapp Hodgkin syndrome. EEC stands for ectrodactyly-ectodermal dysplasia-clefting syndrome.)


